Увійти Shopping Cart
 x 
Кошик порожній
Facebook

Ультразвуковий ветеринарний сканер MyLab Sigma Vet

Портативний ветеринарний УЗД-сканер з українським інтерфейсом, розширеною кардіологією та авторозрахунками для репродукції
ціну уточнюйте

Ультразвуковий ветеринарний сканер MyLab Sigma Vet - портативна ультразвукова система, розроблена Esaote спеціально для ветеринарної медицини. Сканер поєднує мобільність та автономність з якістю зображення, що робить його чудовим інструментом для клініки чи операційної. Система оснащена потужним процесором, сучасним ПЗ з інтелектуальними функціями та підтримує широкий спектр спеціалізованих датчиків.

Наявність спеціалізованих Vet-протоколів та українська локалізація

Система має повністю українізований інтерфейс, що значно спрощує роботу. Вбудовані програмні пакети Reproduction (з протоколами для різних тварин), Cardio та General Imaging містять автоматизовані вимірювання та розрахунки, засновані на сучасних світових ветеринарних протоколах, прискорюючи постановку діагнозу

Висока якість зображення та глибока діагностика

Апаратні та цифрові технології, поєднані з ліцензіями TEI (покращення візуалізації тканин, друга гармоніка), PBI (збереження високої роздільної здатності на великій глибині) та X-View/M-View (зниження артефактів та спекл-шуму), дозволяють отримувати чітке, контрастне зображення, необхідне для точної діагностики технічно складних пацієнтів

Виняткова мобільність та швидкість

Система працює автономно до 2-х годин від вбудованої батареї, що критично важливо для виїзних обстежень. Завантаження з режиму очікування займає менше 15 секунд, дозволяючи лікарю миттєво розпочати дослідження

Експертні можливості в кардіології та доплерографії

Розширений кардіологічний пакет Cardio включає ліцензії CW/PW/HPRF Допплер, а також спеціалізовані режими, як-от СММ (мультинаправлений анатомічний М-режим) та TVM (картування швидкості тканин) для детального аналізу руху стінок міокарда. Режими X-CFM та X-Flow забезпечують чутливу візуалізацію кровотоку, включаючи низькошвидкісний.

Оптимізація робочого процесу та ергономіка

Великий 15,6'' Full-HD поворотний монітор забезпечує оптимальне положення при скануванні великих і дрібних тварин. Система "Smart touch" та можливість програмування клавіш дозволяють запускати складні функції та налаштування одним дотиком, зменшуючи час дослідження

Широкий вибір спеціалізованих датчиків

Сканер підтримує одночасне підключення 2-х (опційно до 4-х) різнопланових датчиків, інноваційні iQProbe з монокристалічними матрицями. Доступний повний набір: мікроконвексний, лінійний, фазований, що забезпечує покриття всіх анатомічних областей та видів досліджень у ветеринарії

Технічні характеристики УЗД-апарату MyLab Sigma Vet:

  • Виробник: Esaote (Італія)
  • Монітор: 15.6'' LCD, роздільна здатність 1920×1080 (Full-HD), поворотний механізм (кут до 90°)
  • Кількість портів для датчиків: 2 типу Ziff (опційно до 4-х через адаптер)
  • Автономна робота: до 2-х годин від вбудованої батареї
  • Швидкість завантаження: менше 15 секунд з режиму очікування
  • Операційна система: Windows 10
  • Процесор/накопичувач: Intel Core i7 / HDD-накопичувач 512 Gb
  • Основні режими візуалізації: B, B/В, М, В/М, CFM (кольоровий доплер), Power Dopler, Directional Power Doppler, PW/CW (Імпульсно/постійно-хвильовий допплер)
  • Спеціалізовані технології (Ліцензії): X-CFM (кольорове картування з високою чутливістю), X-Flow (відображення низькошвидкісного кровотоку), PBI (покращення роздільної здатності на глибині), TEI (тканинна гармоніка), X-View/M-View (режими зниження шуму/артефактів та покращення якості зображення, B-Steer/Tp-View (відхилення кута променя/трапецієвидне сканування для лінійних датчиків), Auto-Adjust (автоналаштування зображення)
  • Можливості підключення та архівування: DICOM, Multi-Modality archive, бездротове підключення, eStreaming, програма MyLabDesk для постобробки та звітності на зовнішньому ПК
  • Самовивіз.
  • Нова Пошта. Згідно з тарифами перевізника.
  • Доставлення кур'єром Нової Пошти. Згідно з тарифами перевізника.
Уточнюйте можливість самовивозу!
Доставка при замовленні від 50 000 грн: безкоштовно!
  • Оплата при отримані.
  • Банківській переказ.
Гарантійний термін вказаний в характеристиках товару. Детальніше з гарантійними умовами ви можете ознайомитись за посиланням.
Портативний УЗД Esaote MyLab Sigma VET з відкритим екраном, що демонструє кольорове доплерівське картування судин на дисплеї. Пристрій має світло-сірий корпус, сенсорний екран та панель з кнопками та трекболом
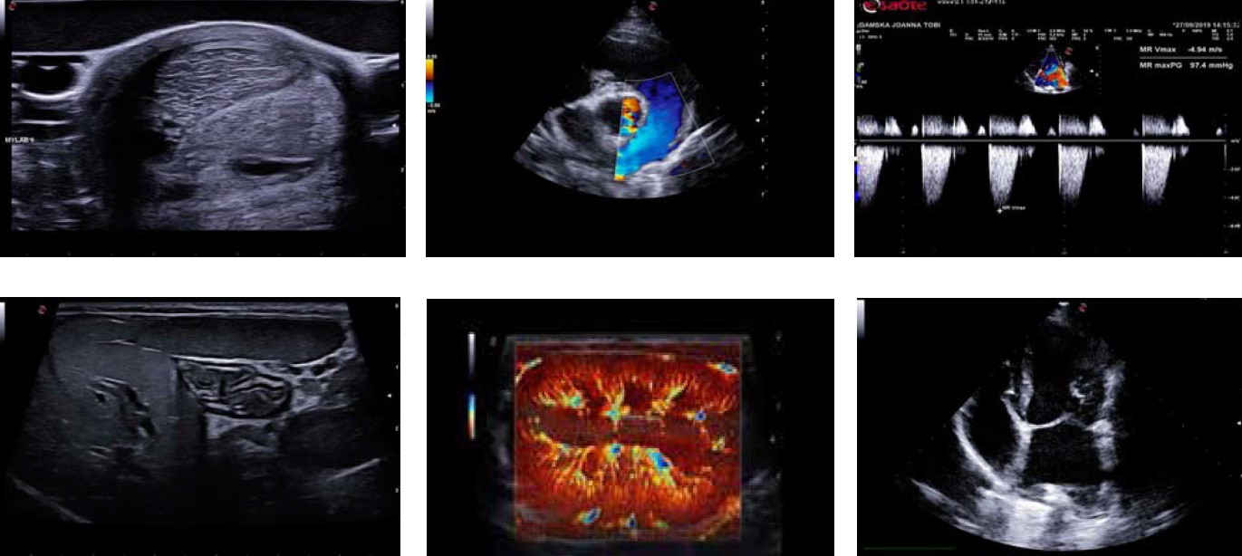
Клінічні ультразвукові зображення, отримані на апараті MyLab Sigma VET. Приклади включають: зображення органу в В-режимі, ехокардіограма, спектральний доплер, зображення з використанням розширених режимів
Esaote - відомий італійський бренд, що понад 30 років розробляє ультразвукові апарати для ветеринарної медицини, охоплюючи широкий спектр застосувань. Системи Esaote відрізняються високою якістю зображення, особливим програмним забезпеченням та ергономічним дизайном, що полегшує діагностику пацієнтів. Esaote - надійний партнер для ветеринарних клінік, що пропонує найкращі інструменти для забезпечення ефективної роботи... [детальніше]

Не знайшли що шукали, або залишились питання? Напишіть нам і ми відповімо Вам у найближчий робочий час! [написати]

ВЕТ ЕКСІМ – це не просто інтернет-магазин ветеринарного обладнання. Це комплексне рішення будь-якого вашого запиту, починаючи з апарату МРТ і закінчуючи оглядовими рукавичками. Наша команда завжди готова відповісти на ваші запитання і задовольнити ваші потреби. Чекаємо вас за покупками!

Для покупців:

Вхід / реєстраціяПрофіль покупцяКошикУмови співпраціПолітика безпекиІнформація про доставкуНовини & акції

Як зробити покупку у нашому магазині

У зв'язку з нестабільним курсом валют, порушенням логістики та іншими проблемами, спричиненими війною, ціни на деякі наші товари відсутні. Тому, щоб уникнути непорозумінь, після наповнення кошику заповніть форму зворотного зв'язку. Наш менеджер у найближчий робочий час зв'яжеться з вами, дасть вичерпну відповідь на всі ваші запитання та допоможе оформити покупку.